![]()
| コブレーション(Coblation)手術はラジオ波を利用した凝固手術です。鼻粘膜や扁桃組織の肥大した部位にワンドと呼ばれる針電極を刺します。ラジオ波を利用して非常に低い熱を組織にあたえ肥大組織を縮小させるものです。約1ヶ月かかって凝固が完了します。日帰り手術です。Coblatorの導入は北海道内では2医療機関ありますがコブレーションによる粘膜収縮手術は当院のみ実施しております(2004.4.9現在)。 |
|
***************************** |
![]() |
![]() |
![]() |
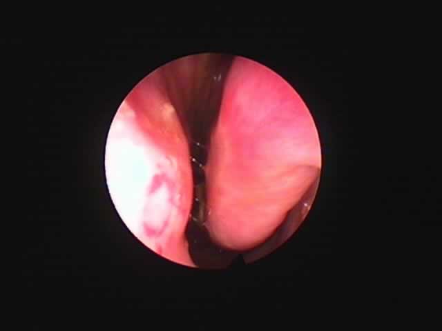
右 |
![]() |
|
![]() |
左 |
| 術前 25歳女性 アレルギー | コブレーション術直後 | 術後51日目 |
| 鼻閉は改善されたが鼻水やや多い。アルゴンプラズマ凝固を考慮中。 |
![]() |
![]() |
![]() |
右
|
![]() |
![]() |
![]() |
左
|
| 術前 16歳男性 アレルギー | コブレーション術直後 | 術後55日目 |
| 右鼻の腫れは著明に改善。左鼻のしきりの骨が曲がっているので、右ほど改善しておりませんが完全閉塞になることはほとんどなくなる。 |
![]() |
![]() |
右 |
![]() |
![]() |
左 |
| 術前 56歳 慢性肥厚性鼻炎 | コブレーション2ヶ月後 |
| いびきも消失。夜間の鼻閉が無くなり本人満足。 |
扁桃のコブレーション手術(日帰り手術)
![]() |
![]() |
![]() |
| 左扁桃術直後(31歳男性,6月9日) 数カ所針電極を刺入 | 白い部分が変性部位(6月11日) | 右扁桃術直後(7月7日) |
![]() |
![]() |
![]() |
| 7月16日 かなり縮小 | 両手術直後(縮小不十分なため追加焼灼、8月9日) | 9月8日 著明に縮小しいびき消失しているとのことです |