浸出性中耳炎とは、中耳腔に貯留液が存在しているが急性中耳炎において認められる様な発熱、耳痛、耳漏など急性症状を示さず、軽度あるいは中程度難聴、耳閉感、耳鳴、自分の話し声がひびくなどが主症状であるが、幼少児が訴えることは少ないため日常生活ではテレビの音量、後ろからの呼びかけた時の反応で浸出性中耳炎かどうかの判断基準の一つとなる。中耳貯留液は外界から入ったのものではなく、炎症による中耳の血管や粘膜からの血液成分や分泌液、細菌、ウイルス成分、炎症産物である。中耳貯留液が存在すると音が耳に入ってきても鼓膜の振動が障害されるため聞こえが悪くなる。治療の目標は浸出液のない正常な中耳腔に回復させることにある。2歳までは1〜2カ月で80%以上は治癒するが3歳以上は難治例も多く50%以上はさらに長期に治療を要するが根気よく治療すると10歳を過ぎるとほとんどが治癒する。幼少児の浸出性中耳炎の大部分は急性上気道炎(鼻副鼻腔炎、アデノイド感染、咽頭炎、扁桃炎など)に併発して発症した急性中耳炎の不完全治癒例とみなされる。難治および反復傾向を助長する因子として慢性副鼻腔炎、アレルギー性鼻炎、耳管機能障害、免疫学的未熟性、乳突蜂巣の含気化抑制、先天性奇形(ダウン症、口蓋裂)、アデノイド増殖症、はなすすり癖、受身喫煙、保育園などの共同生活、乳児の人工栄養などがあげられる。中耳貯留液持続期間と合併症状により治療はかわる。通気療法、上気道炎の加療、薬剤(抗生剤、ステロイド、少量長期マクロライド療法、抗アレルギー剤、粘液溶解薬など)、鼓膜切開、換気チューブ留置術、はなすすり癖の中止、耳管開口部の閉塞が強いばあいはアデノイド切除術を行う。浸出性中耳炎を放置すると手術が必要な癒着性中耳炎、真珠腫性中耳炎やまれに回復不能な感音性難聴へ進展する可能性もある。また長期に渡る難聴は幼少児の言語発達、情緒発達に悪影響のおそれもあると言われているので6カ月の保存的治療で改善しなければ換気チューブ留置も考慮しなければならない。

 

左浸出性中耳炎(粘調な貯留液)。6歳女児。 イオント麻酔後(無痛)切開吸引
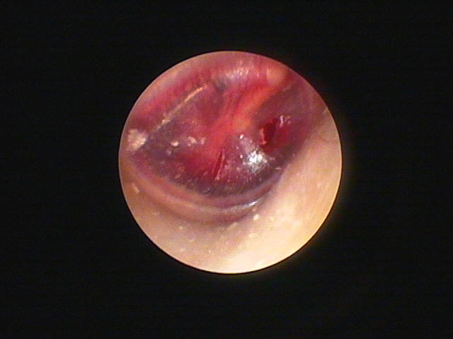
左浸出性中耳炎(サラサラな貯留液)。5歳女児。 イオント麻酔後(無痛)切開吸引。
右浸出性中耳炎(貯留液)。19歳男性。 イオント麻酔後(無痛)切開吸引。
左難治性浸出性中耳炎。48歳男性。 チューブ留置後一ヶ月。
左浸出性中耳炎。26歳男性。 チューブ留置直後。
左難治性浸出性中耳炎。25歳男性。 チューブ留置直後。
右航空性中耳炎(血性貯留液)。33歳女性。 イオント麻酔後(無痛)切開吸引。

 

ホームへ戻る