いびきは睡眠中にのみ起こる異常呼吸音で、原因は上気道狭窄(狭窄=狭くなる)により、そこを空気が通過し、振動音や狭窄音が発生することにより起こります。いびきの問題点は、周囲の人の安眠を妨害することと、その人自身、睡眠中に無呼吸を合併することが多い事です。10秒以上続く無呼吸が1時間に5回以上認められる場合を「睡眠時無呼吸症候群」といい、日中の傾眠、注意力や記憶力の低下、疲れやすさ、起床時の頭痛・口内乾燥、高血圧、不整脈、肥満などを合併します。
 上気道狭窄の原因として、小児ではアデノイド・扁桃肥大が多く、摘除手術により、著しく改善します。
 成人では軟口蓋(がい)形態異常、扁桃肥大、舌根部肥大、肥満、鼻疾患、甲状腺機能低下症などが原因として多く、睡眠薬、鎮静薬、抗ヒスタミン薬を飲んだり、飲酒、疲労、高い枕、仰臥(ぎょうが)位での睡眠もいびきを増悪させる要因です。治療に際しては、重症度と狭窄部位を確定し、その方法を選択します。対策は、鼻閉の治療、側臥位で睡眠、体重減量、歯科装具(スリープスプリント)を付ける、経鼻的持続陽圧呼吸手術的治療などがあり、特に手術が非常に効果的で、手術法や機器の開発進歩により、外来での手術で改善できる場合もかなり多くなりました。 (いびきの改善手術の3割負担金は29100円です。H.25.12現在。)

 睡眠時無呼吸のスクリーニング検査として、モルフェウス(簡易睡眠ポリグラフ検査、オーストラリア製)は、睡眠中の無呼吸の有無とその無呼吸に関係して起こる身体の酸素不足やいびきの有無やその程度を検査するものです。普段と同じように自宅で寝て検査します。この機器には鼻圧力センサー(鼻カニューラで無呼吸・低呼吸・いびきを検出)、呼吸バンドセンサー(バンドで胸部と腹部の呼吸努力運動を検)、SpO2センサー(爪にセンサをつけ検知)がついております。2から3日間寝るとき付け検査します。    

モルフェウス

色々なセンサーがついております。メモリーに記憶させそれをパソコンで解析します。

検査の3割負担金は2580円です。

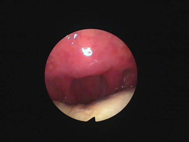
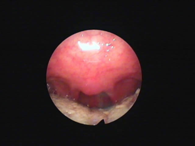
1) 手術前、口蓋垂(のどちんこ)が太く長く舌にくっついており、その横の粘膜も幅が広い。いびき改善手術をすることとなりました。 2) 外来(日帰り手術)手術後50日、70%のいびき音が改善したと本人がいっております。のどがひろくなりました。
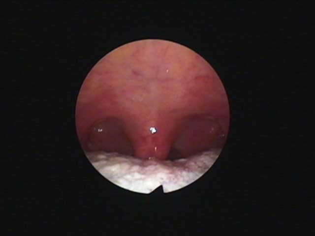
1) 手術前 37歳男性 2) 外来(日帰り手術)手術後45日、いびきはほとんど消失

経鼻的持続陽圧呼吸器(グッドナイト420)  小型で軽量(W142×D195×H75、760g以下)なので旅行に持参することが可能です。

 

実際に装着。器械音は超静音(30dB以下)。3割自己負担で月4380円です。ただし保険適応の基準があります。
スリープスプリント

 

 

ホームヘ戻る